搜索关键字

猫咪的蛋蛋无论从视觉还是触感,总有一种特殊的魔力↓

忍不住伸出咸猪手。图自sohu.com
8过,你是否见过只有一个丰满的蛋蛋,甚至没有蛋蛋的小公猫?

少了一个蛋蛋…图自ocgainesville.org

少了两个蛋蛋
隐睾 是指睾丸未下降至阴囊的情况,它包括睾丸下降不全和睾丸异位。
临床统计发现,隐睾睾丸发生肿瘤化的风险是正常睾丸的9倍。而据报道,猫隐睾的患病率达1.3%-3.8%(每100只猫,就有1~4只患病)。
4月初,我们的捡猫专业户曾医生…就接到了一个【绝育体检发现单侧隐睾】的案例。

病患情况
基本信息
姓名:汉堡
年龄:1岁
性别:公
品种:英国短毛猫
健康管理:定期驱虫/已疫苗/未绝育
主诉:打算做绝育,到医院发现只有一个蛋蛋。

检查及诊断
“只有一个蛋蛋”,需要考虑哪些可能原因
1.皮下隐睾
2.腹腔内隐睾:睾丸下降不全/睾丸异位:(出现睾丸扭转的动物会表现急腹症的临床症状。)
3.染色体性别的紊乱
在猫的隐睾中:有49%为腹股沟,33%为腹部,14%为腹股沟环。
为确定可能原因,医生对汉堡进行了进一步检查:
➤ 触诊
➤ 生化&血常规:正常值范围内(术前检查)
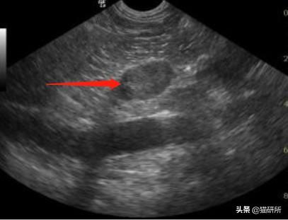
➤ 超声检查:发现腹腔内隐睾
(诊断敏感性强,尤其在睾丸发生肿瘤化或位于腹股沟时)

未出鞘的蛋蛋
阴囊脂肪和腹股沟淋巴结可能与隐睾混淆,腹部睾丸有的没有办法触诊或超声显示,需要开腹探查。图自@曾医生
其他诊断方式
检查阴茎棘:阴茎棘,会在公猫去势6周后萎缩。而睾丸滞留猫的阴茎倒刺,会持续存在。


阴茎棘,会在公猫去势6周后萎缩图自umao
激素调节:通过给予促性腺素释放素或人绒毛膜促性腺素后,血液睾酮水平升高与否确诊。
诊断结论
因发育过程中睾丸降落不完全,导致的腹腔内隐睾。
隐睾是怎么形成的?
睾丸正常情况下由肾脏后极下降,通过腹股沟管,在出生后40d下降到阴囊。

正常睾丸下降过程
睾丸在腹股沟区域或腹腔内的滞留称为隐睾:最常见于单侧;常见滞留区域为腹股沟。

治疗及护理
手术取出腹腔内的睾丸。


1.腹腔内的蛋蛋;2.正常的蛋蛋图自@曾医生
预后和护理注意事项
1.隐睾切除术后,通常罕见严重的并发症;
2.若术中发现睾丸疑似肿瘤或者癌变,需要将隐睾送检,判断预后;
3.汉堡的术后恢复良好。

Q&A
猫咪多大后,可确诊不会再发生隐睾?
睾丸下降,约在出生后第10天左右完成。
但新生幼猫的睾丸,很小很柔软,仍可在阴囊和腹股沟之间移动。
不过,6个月大时,大多数猫的腹股沟环会关闭,睾丸就无法再移动到腹股沟了。

图自网络
▌因此,若猫咪6月龄时仍未发生隐睾,通常就无需担心了。
隐睾必须手术吗?
▌建议摘除滞留的睾丸。滞留的睾丸会持续分泌激素,增加肿瘤、扭转和遗传病的风险。
肿瘤:临床研究表明,隐睾睾丸发生肿瘤化的风险是阴囊睾丸的9倍;出现支持细胞瘤的年龄更早;更容易诱发雄激素增多的临床症状。

睾丸扭转:最常见临床症状包括腹痛、厌食症、嗜睡、呕吐、排尿困难、运动困难和发热,并可能导致突然腹痛(出现脾气暴躁不安)和其他并发症。
隐睾的猫咪可以当猫爸吗?
正常情况下,阴囊中的睾丸温度比体温低4~5℃,此温度产生正常精子。因此,单侧隐睾的猫爸要么精子质量不高,要么就无法产生精子;而双隐睾的猫爸,通常无法产生精子。
▌另外,也不建议患隐睾的猫猫作为猫爸留后。

图自petwave.com
B超和开腹都没发现蛋蛋,是什么情况?

图自petwave.com
▌染色体性别的紊乱(正常为XY)。
XXY型:可能出现发育不良的睾丸、附睾、输精管、雄性外生殖器。
XX/XY嵌合体:已报道的1例猫科动物,其表型为雄性,有1个阴囊睾丸(雄性生殖器)和1侧腹腔卵巢(雌性生殖器)。
Tips:
盘猫时,多留心观察。

图自网络
及时发现隐睾病,及时手术摘除;
避免睾丸病变,及可能并发症隐患的发生。

医生介绍

【本期所长互动】
你家主子还有蛋蛋么?